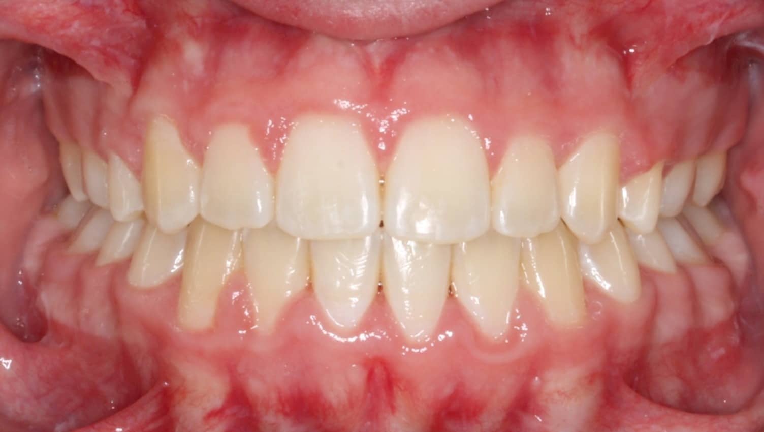
Before And After

See the Transformation. Smile with Confidence.

Explore real-life transformations from our patients at Up North Orthodontics. Our Before & After gallery showcases the power of personalized orthodontic care—highlighting the beautiful, healthy smiles that come from expert treatment and a little northern charm.